
If you have a stone in your gallbladder and you are likely to have surgery, the following article may be useful for you. I have tried to answer all your questions and concerns that you may have. The information I provide here is not a substitute for your doctor’s examination and meeting with you.
You can contact us to have gallbladder surgery or to be examined.

Why Do Gallbladder Stones Occur? What Kind of Organ Is The Gallbladder And What Does It Do?

The gallbladder is a pear-shaped and sized organ on the upper right side of the abdomen, on the lower inner surface of the liver.
Bile is produced by the liver. Small bile ducts in the liver combine to form the main bile duct and leave the liver with this common bile duct. The structure that we call the cystic duct, which is the duct of the gallbladder, combines with this main bile duct and empties the bile into the duodenum . At the point where the bile empties into the duodenum , it empties into the same place in the pancreatic duct where the pancreatic secretions are.
The gallbladder stores some of the bile produced by the liver. Especially after a fatty meal, some chemical signals in our body cause the gallbladder to contract, thus allowing the gallbladder to be emptied.
The color of bile is yellow and contains cholesterol, water, bile salts, protein powders and bilirubin . Bile aids in the digestion of fats.
What are the Types of Gallbladder Stones?

Gallstones can form if there is too much bilirubin and cholesterol in the bile and if there is a problem with the emptying of the gallbladder.
Types of gallstones:
- Cholesterol stones
- 2.Pigment stones
- 3.Mixed stones (contains both cholesterol and pigment stones)
Cholesterol stones are mostly made up of solidified cholesterol. Pigment gallstones are dark gallstones containing bilirubin . Most gallstones are mixed gallstones containing pigment and cholesterol.
Why Do Gallbladder Stones Occur? Who gets gallstones?
Women between the ages of 20-60 have a higher risk of developing gallstones than men.
Men and women over the age of 60 have an increased risk of developing gallstones.
People who are overweight have an increased risk of developing gallstones.
Multiple pregnancies that cause excessive estrogen secretion, hormone replacement therapy and use of birth control pills increase the likelihood of gallstone formation by increasing the cholesterol level in the bile and slowing the emptying of the gallbladder.
The risk of gallstone formation is increased in patients with biliary tract infections.
In some hereditary blood diseases (sickle cell anemia), bilirubin occurs as a result of the breakdown of blood cells and pigment stones are formed.
Gallstones may occur after bariatric surgery and diet, after rapid weight loss, and after the use of cholesterol-lowering drugs.
High cholesterol level in the blood is not an absolute risk factor for gallstone formation.
People with a family history of gallstones are more likely to have gallstones, and there is no gene for it.
Is there a diet or treatment that prevents the formation of gallstones?
diet, foods to avoid, or treatment to prevent the formation of gallstones .
When people with gallstones eat fatty foods, their pain is triggered, so those with gallstones can reduce their pain by avoiding fatty foods.
Stones in the gallbladder are not associated with stones in other parts of the body (kidney, urinary tract and bladder).
What Problems Does Gallbladder Stone Cause? Are Gallstones Dangerous? What are the Symptoms of Gallstones?
Most of the time, gallstones do not show any symptoms and remain ‘silent’. Silent gallbladder stones are usually diagnosed incidentally during examinations performed for other problems.
Mild symptoms of gallstones include bloating, nausea, belching, and indigestion, usually after meals.
More severe symptoms include episodes of abdominal pain and vomiting. Gallstone pain usually appears in the upper right side of the abdomen and radiates to the right shoulder and scapula. This pain occurs especially after consuming fatty foods, lasts for several hours and is called biliary colic.
Gallstones can cause symptoms similar to those of heart attack, intestinal obstruction, gastric ulcer, gastric hernia, appendicitis, pneumonia, pancreatitis, gallbladder cancer and hepatitis, so accurate diagnosis is vital.
This belongs to a patient that I operated with closed method due to gallbladder inflammation. The wall of the bladder is edematous and the wall thickness is increased.

What are Gallbladder Stone Complications?
Stones in the gallbladder can cause the gallbladder to become inflamed, a condition called acute cholecystitis.
Acute cholecystitis is an emergency and requires hospitalization of patients.
In the treatment of acute cholecystitis, antibiotics and painkillers are used primarily to calm the inflammatory condition. After the emergency is stabilized, cholecystectomy (surgical removal of the gallbladder) is performed. In some emergencies, cholecystectomy is performed immediately.
In acute cholecystitis patients caused by some aggressive bacteria, the gallbladder may rot, that is, it may go into gangrene or cause a perforation, which we call perforation. In case of intense inflammation and decay of the gallbladder , this inflammation may spread to the surrounding tissues.
In the case of recurrent infections of the gallbladder and periods of recovery, it is called chronic cholecystitis. In chronic cholecystitis, the gallbladder shrinks and its wall hardens. If the cystic duct, which allows the gallbladder to empty, is blocked by a stone, the gallbladder cannot empty and swells and can be filled with inflammation and pus.
Small stones in the gallbladder may fall into the bile duct, and in this case, the disease we call obstructive jaundice occurs. The signs of obstructive jaundice are fever, severe abdominal pain, jaundice of the skin and eyes, and chills. Obstructive jaundice is an emergency and must be treated quickly.
Stones falling from the gallbladder into the duct cause pancreatic inflammation, which we call acute pancreatitis. Acute pancreatitis can cause life-threatening complications. Acute pancreatitis is a condition that needs to be treated quickly.
Does Gallbladder Stone Cause Cancer?
Although gallstones are common, gallbladder cancer is a rare condition. Genetic and dietary factors are probably involved in gallbladder cancer.
Gallstones are a risk factor for gallbladder, but how it causes it is unclear. Those with large gallstones for a long time are at greater risk. Gallbladder inflammation, which occurs as a result of incomplete emptying of the gallbladder due to stones rather than gallstones, may play a major role in the development of gallbladder cancer.
Porcelain gallbladder condition, which develops as a result of the accumulation of calcifications on the wall of the gallbladder, increases the risk of gallbladder cancer.
Salmonella infection that causes gallstones can cause gallbladder cancer.
Choledochal cysts or structural defects in the bile and pancreatic ducts can cause gallbladder cancer.
Some patients may have polyps in the inner wall of the gallbladder. In cases where these gallbladder polyps are larger than 1 cm , they can lead to gallbladder cancer.

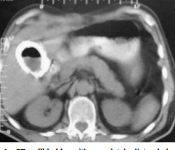
Calcification in the wall of the gallbladder and porcelain gallbladder are seen on the tomography.
How Are Gallbladder Stones Diagnosed?

The photo shows an ultrasound of the gallbladder.
When gallstones are suspected, the first examination should be abdominal ultrasound. Abdominal ultrasound is an easy, fast and radiation-free examination. Ultrasound works with sound waves and can easily show whether there are stones in the sac, the thickness of the sac wall and the presence of fluid around the sac.
Blood tests are also used in gallbladder diseases. In the blood tests, it is checked whether the liver is working normally, whether there is obstructive jaundice and the presence of infection.
In rare cases, computed tomography, MR and MR Cholangiography can be used in gallstones. In cases where it is suspected that the stones in the gallbladder have fallen into the bile duct, Mr. Collagiography examination is used.
In the presence of stones in the bile duct, the stones in this bile duct should be removed before gallbladder surgery. ERCP (Endoscopic retrograde ) for removal of stones in the bile duct cholangiography ) method is used. In ERCP, it is entered through the mouth with an endoscope and advanced to the duodenum , and gallstones are removed by entering the bile duct with the help of the endoscope’s camera. ERCP cannot remove stones from the gallbladder.
With Gallbladder Symptoms ?
Gallstones signs and symptoms may be confused with gastric ulcer, pancreatitis, hepatitis, heart attack, pneumonia , hiatus hernia, and intestinal obstruction. Therefore, correct diagnosis is very important.
Gallbladder Polyp?
Gallbladder polyps are mole-like growths on the inner wall of the gallbladder. Gallbladder polyps are usually diagnosed randomly . There is no rule that every gallbladder polyp will be operated.
Single, sessile and multiple gallbladder polyps larger than 1 cm are suspicious as they can cause gallbladder cancer and should be operated on. In addition, polyps found with gallstones over the age of 50 pose a higher risk for gallbladder cancer.
Multiple gallbladder polyps are seen in the ultrasound image on this page.

Multiple gallbladder polyps are seen in the ultrasound image on this page.
Laparoscopic cholecystectomy (closed gallbladder surgery) is a method used in the treatment of gallbladder polyps. When there is a high suspicion of cancer, open surgery can also be applied instead of this method.
In low-risk gallbladder polyps, I recommend follow-up with ultrasound every 6 months. If no change is detected in the gallbladder polyps followed by ultrasound for 2 years, the follow-up can be terminated.
Does Gallbladder Cause Pain Even Without Gallstones?
biliary In a disorder called dyskinesia , there is a problem in the emptying of the gallbladder. This disease is diagnosed with a nuclear medicine method called HIDA scintigraphy. biliary Removal of the gallbladder in dyskinesia is controversial.
Gallbladder Surgery
What Treatment Is Recommended for Gallstones That Cause Symptoms?
The best treatment for gallstones is surgical removal of the gallbladder. This surgery is called cholecystectomy. The traditional cholecystectomy method is cholecystectomy with open surgery. Open cholecystectomy is a surgical method performed by entering the abdominal cavity with a 5-10 cm incision made on the upper right side of the abdomen. Today, if there is no obstacle, cholecystectomy is performed with a closed method and this method is called laparoscopic cholecystectomy.
I Have Gall Bladder Stones But I Have No Complaints. Do I Have to Have Surgery?
Silent gallbladder stones that do not cause any complaints do not require any treatment or surgery.
In some cases, if there is a suspicion of developing cancer in addition to the presence of gallstones, then a treatment decision can be made after consulting your doctor.
Are There Alternative Treatment Methods to Surgery for Gallstones?
There are drugs that can dissolve gallstones when used for a long time , such as ursedooxycholic acid and chenodoxycholic acid . These drugs are effective in very few patient groups and should be used for a long time. When these drugs are discontinued, gallstones can form again. Long-term use of drugs can increase liver function tests and blood cholesterol levels. These drugs do not replace cholecystectomy surgery. It can be tried in patients who are inconvenient to have surgery.
lithotripsy method used in the treatment of kidney stones is not suitable for gallbladder stones. This method can break up the gallstones , and the smaller stones can block the bile ducts.
ERCP, an endoscopic method, can remove stones in the biliary tract, but is ineffective in removing gallstones.
There is no surgical method in which the gallbladder is opened and only stones are removed.
Therefore, the most appropriate treatment method for patients with gallstones and symptoms is Laparoscopic Cholecystectomy.
How is Closed Gallbladder Surgery Performed?
In laparoscopic cholecystectomy surgery, 3 or 4 incisions of 1 cm are made from the abdominal skin. By inflating the abdomen with CO2 gas, it is ensured that the surgeon can see the inside of the abdomen more easily and operate more comfortably. After the laparoscopic cholecystectomy procedure is completed, CO2 gas is taken out. Laparoscopic cholecystectomy surgery takes 30-90 minutes . The type of anesthesia used in this surgery is general anesthesia. After a laparoscopic cholecystectomy operation where everything goes well, our patients are usually discharged the next day after staying in the hospital for 1 night. The gallbladder removed during laparoscopic cholecystectomy should definitely be sent to pathology for examination.

In this photo, Dr. You are seeing a laparoscopic cholecystectomy operation performed by
Özhan Çetindağ . A Single Hole And Can a Laparoscopic Cholecystectomy Be Done Through the Incision ?
Laparoscopic cholecystectomy can be performed through a single hole . Whether it is safe or not is still controversial because some difficulties arise for the surgeon when performing this operation . Single hole laparoscopic cholecystectomy can be performed in selected patients , but should not be made routine. This opinion is Dr. Özhan. Çetindağ’s view may be evaluated differently by other surgeons.
Steps Before Gallbladder Surgery
I have gallstones, is there a special diet I should follow?
Patients with gallstones should generally avoid very fatty foods. If you follow this diet, you will have less pain. Patients with gallstones are triggered by some foods, and if you detect these foods, you can avoid these foods.
Patients with stones in the gallbladder should eat less and reduce the portions. You should only eat when you are hungry, not when you are full.
Those with gallstones should mainly consume more plant foods and less meat should be consumed. If meat is to be consumed, it should be fish and chicken because red meat contains more fat. Take care to consume food cooked at home because you may not be able to control the content of the food you eat outside. When you buy food, pay attention to the fat ratio . If the fat content is more than 17.5%, it is high-fat, between 3-17.5% it is medium-fat , and if it is less than 3% , it is low-fat food.
Avoid butter, cream, and high-fat cheeses. Cut down on burgers, fries and chips.
biliary colic pain, you can use Paracetamol and Ibuprofen by consulting your doctor . You should consult your doctor because gallstone pain can be confused with heart diseases and other diseases.
What Is Done Before Gallbladder Surgery? What should I do?
You will meet with the anesthesiologist before gallbladder surgery. The anesthesiologist will share with you and your surgeon whether there is any risk for gallbladder surgery and, if so, the degree of risk.
If you are using blood thinners, these drugs can be replaced with other blood thinners.
If you have diabetes, you may need to skip the medication on the morning of the surgery and may be switched to insulin therapy . If you are already taking insulin therapy , it may be necessary to prepare for this during the surgery.
If you have hypertension and are going to have gallbladder surgery, you may be asked to take blood pressure medication with very little water that morning.
You will fast for 4-6 hours before the operation . You will wear a surgical gown and compression stockings during the surgery.
Do I Need to Have Open Cholecystectomy Surgery? Is There a Possibility for My Laparoscopic Cholecystectomy Surgery to Reveal ?
In general, laparoscopic cholecystectomy, that is, closed gallbladder surgery, can be successfully performed in 95% of patients. In the remaining 5% of the patients, it can be converted to open surgery. The risk of switching to open surgery is higher in those who have had intra-abdominal adhesions due to gallbladder inflammation and those who have undergone surgery for another reason.
If I have a stone in my bile duct, which method will I have surgery?
stones in the bile duct is detected before the operation , the stone is removed with ERCP and then laparoscopic cholecystectomy operation can be performed.
In some patients, the surgeon suspects a stone in the bile duct during the operation, in this case Intraoperative Cholangiography is taken during the operation. X-rays of all bile ducts are taken thanks to the contrast material. In case of detection of stones during this cholangiography , the surgeon can switch to open surgery and remove the stones here .
I Had A Gallbladder Inflammation Recently And I Was In The Hospital Is It Safe To Have Surgery?
Surgery can be performed safely in the first seven days of acute cholecystitis . If this period has passed, 4-6 weeks should be waited because early surgery may lead to complications because there is adhesion to the surrounding tissues in acute cholecystitis and the operation may not be completed laparoscopically. Kiss. Dr. Özhan Çetindağ also contributed to a national study with this patient group.

